Tu sonrisa recuperada desde Dental Making Smiles

En Making Smiles cuidamos tu salud dental con tratamientos personalizados, materiales de alta calidad. Tu sonrisa, en las mejores manos de Xalapa.

Google Reviews 5,0

Sabemos que ir al dentista puede generar ansiedad...

Resultados visibles y sin dolor, soluciones cómodas, seguras y naturales.

Especialidades

Desde limpiezas hasta ortodoncia estética, tenemos la solución que necesitas para cuidar tu salud bucal y transformar tu sonrisa.

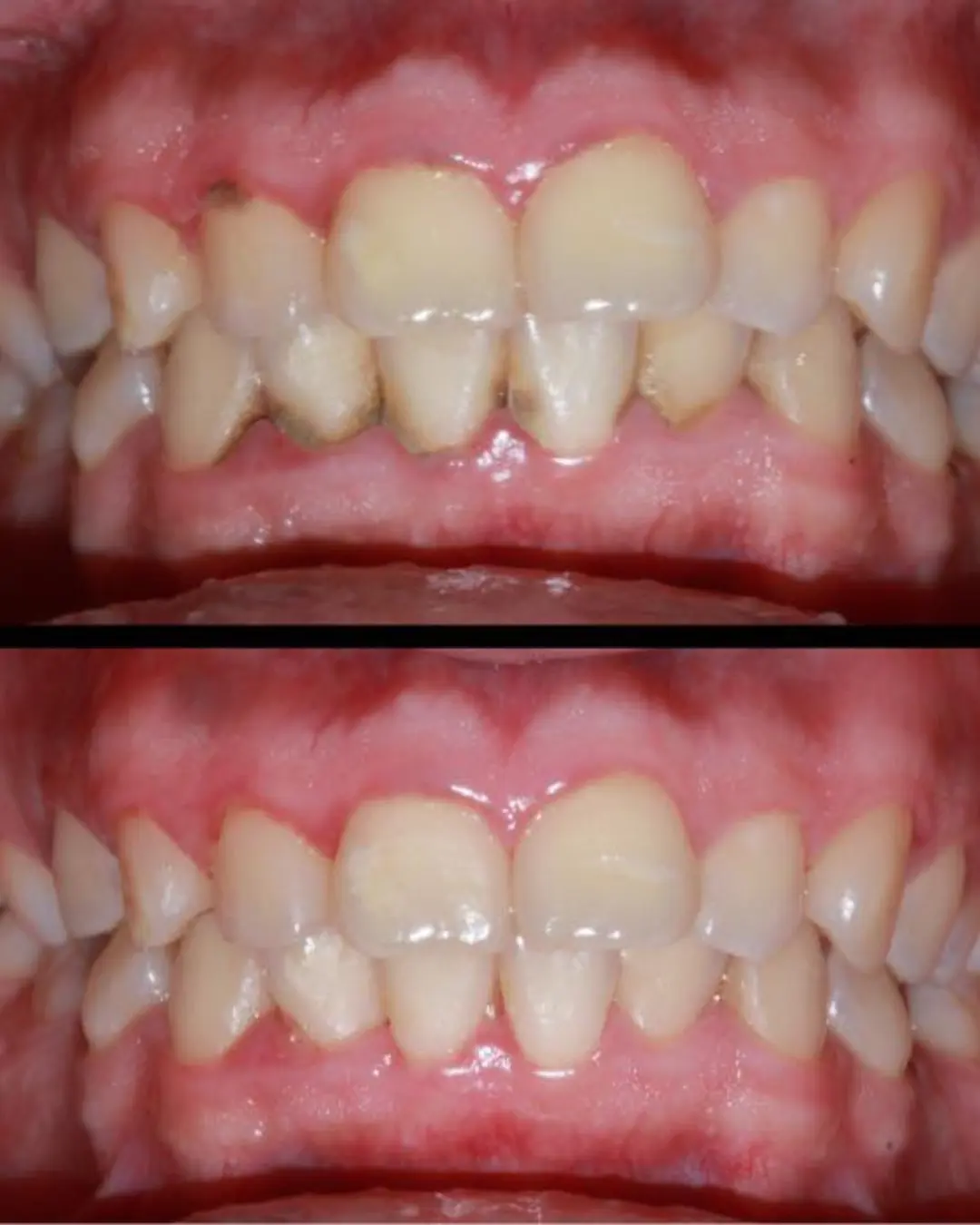
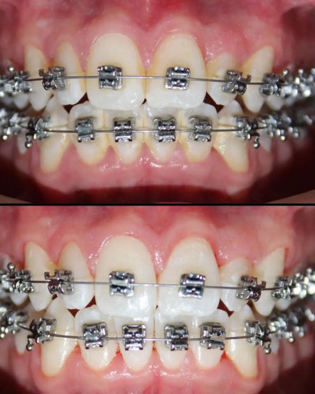
Ortodoncia

Un espacio para alinear tu sonrisa, mejorar tu mordida y sentirte más seguro al verte al espejo. 

Periodoncia

Un espacio para sanar tus encías, revitalizar tu sonrisa y volver a sentirte cómodo al mostrarla.

Endodoncia

Un tratamiento pensado para aliviar el dolor, conservar tus dientes naturales y devolverte la tranquilidad de sonreír sin molestias.

Un equipo que sonríe contigo en Making Smiles Consultorio Dental

Más de 10 años dedicados a devolver confianza y bienestar a cada paciente.

Making Smiles Consultorio Dental es un espacio dedicado a cuidar la salud y estética bucal con calidez, profesionalismo y tecnología de vanguardia.

Cada tratamiento es diseñado para ofrecer una experiencia cómoda, segura y personalizada, logrando sonrisas que inspiran confianza y bienestar en cada paciente.

Especialidad en cirugía bucal

Atención con tecnología digital y procedimientos mínimamente invasivos

Trato personalizado y explicación clara de tus opciones de tratamiento

Instalaciones seguras e higiene de alta calidad, con constante capacitación.

Opiniones de Clientes

Preguntas Frecuentes

¿Los tratamientos dentales duelen?

No. En nuestra clínica utilizamos técnicas modernas y anestesia local para garantizar que cada procedimiento sea cómodo y sin dolor. Además, explicamos cada paso del tratamiento para que siempre te sientas tranquilo y seguro.

Un implante dental es una raíz artificial que sustituye la pieza perdida y permite colocar una corona fija. En CEDEC Dental Center contamos con técnicas avanzadas, como la implantología estratégica, que permite tener dientes fijos en tan solo 72 horas, dependiendo del caso.

Sí. Contamos con especialistas en odontopediatría que trabajan con paciencia y empatía, en un ambiente amable y libre de miedo. Nuestro objetivo es que los niños aprendan a cuidar su sonrisa desde pequeños.

Es completamente normal. Nuestro equipo está capacitado para atenderte con empatía y explicarte cada procedimiento paso a paso. También utilizamos técnicas de mínima invasión para que tu experiencia sea más relajada y sin estrés.

¿Aceptan seguros dentales o planes de pago?

Sí, ofrecemos opciones de pago flexibles y adaptadas a tus necesidades. También podemos orientarte para verificar si tu seguro cubre ciertos tratamientos o consultas.

Recomendamos realizar una limpieza profesional cada seis meses, aunque puede variar según tus hábitos y estado de salud bucal. Durante la revisión te orientamos sobre la frecuencia ideal para ti.

Si notas dientes desalineados, dificultad para morder correctamente o molestias al cerrar la boca, es recomendable una valoración. Nuestro especialista te indicará si necesitas brackets o alineadores invisibles y cuál es la mejor opción para ti.

Sí. Puedes agendar fácilmente tu cita o valoración inicial enviándonos un mensaje directo a través de WhatsApp. Te responderemos lo antes posible para confirmar tu horario disponible.

Excelencia y tecnología al servicio de tu sonrisa

Porque cuidar tu sonrisa es cuidar tu confianza.

Making Smiles Consultorio Denta

Brindamos servicios odontológicos integrales que contribuyen a resolver eficazmente los problemas dentales

desing by grovia.mx

Scroll al inicio